ホワイトニングとは?
1989年にアメリカで実用化された技術で歯の表面に付着した色素のみを落とすのではなく、歯自体を白くしていくものです。
歯の表面を傷つけることなく歯の中にある色素を分解して
歯の明るさを上げて白くしていきます。
このようなお悩みありませんか?
☑ 歯の色にコンプレックスがある
☑ 歯の着色、黄ばみが気になる
☑ 短期間でホワイトニングがしたい
ホワイトニングとクリーニングの違い

ホワイトニング
元々のご自分の歯の色に専用の薬剤を使用して明るくする方法。
クリーニング
歯に付着した歯垢や歯石、着色汚れを取り、歯本来の状態に戻すこと。
ホワイトニングの種類
オフィスホワイトニング ¥35,200(税込)
歯科医院にて歯科医師、歯科衛生士によって施術を行うホワイトニング方法です。
歯の色素を分解する過酸化水素を主成分とするホワイトニング剤を歯に塗った後、光照射し薬剤の効果を高め、ホワイトニングをしていきます。
・歯科医院に週1回来院してもらい1時間予約を取らせて頂きます。
・週1回を4クール(1セット)来院して頂きます(1ヶ月)その後はタッチアップ(後戻り防止)を行っていきます。
●タッチアップ料金 ¥8,800(税込)
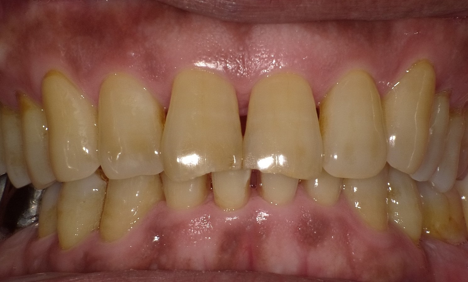
術前
術後
ホームホワイトニング ¥27,500(税込)
歯科医師・歯科衛生士の指示、管理のもとでご自宅にてご自身で行うホワイトニング方法です。
まずは歯科医院にて自分専用のカスタムトレーを作成します。
そのトレーにホワイトニング剤(ジェル)を注入し、毎日夜の就寝時(8時間ほど)に装着することでホワイトニングをしていきます。
・患者様の専用のトレーの型を取り1週間でカスタムトレーを作成します。
・トレーの完成時に来院して頂いてホワイトニング開始になります。
・週に1度状態の確認で4回来院頂きます、その後はメンテナンスにおいてタッチアップを行います。
●タッチアップ料金
カスタムトレー再作成 ¥5,500(税込)(半年間は模型を院内にて保管させてもらいます。)
ホワイトニングジェル1本 ¥2,200(税込)
術前
術後
デュアルホワイトニング ¥55,000(税込)
オフィスホワイトニングとホームホワイトニングを併用することで、
より短期間で白くする方法です。
1回のオフィスホワイトニングと1週間のホームホワイトニングを1クールとして2クール繰り返すのが一般的です。
※求める白さに応じてさらに回数を重ねる場合もあります。
キレイな白い歯で清潔なイメージをプラス
性別を問わずホワイトニングが行われるように
コーヒーや紅茶、ワインのほか、喫煙や加齢などによる歯の着色が気になる方も多くいらっしゃいます。ホワイトニングは、歯を削ることなく、薬剤を使って歯の黄ばみや黒ずみを取り除き、美しく輝く白い歯に仕上げます。美しく白い歯は第一印象をよくするだけでなく、女性の場合、清楚で明るい印象をプラスできることもあり、就職活動や結婚式の前にホワイトニングをする方も増えています。以前は女性が中心でしたが、最近では、男性も身だしなみに気を使う方が増え、若々しい印象を与えられるといった仕事上のメリットや、女性から好意的に受け入れられることなどがあって、ホワイトニングへの敷居が下がっています。
ホームホワイトニングとオフィスホワイトニング
ホワイトニングには、自宅でマウスピースに専用の薬剤を入れて行う「ホームホワイトニング」と、歯科医院で行う「オフィスホワイトニング」があります。
当院では、ホームホワイトニングは「ティオンホワイトニング」を採用しています。白色のジェル状のホワイトニング剤で使いやすく、マウストレーの素材も柔らかソフトな着け心地で長い時間、快適に使用することができるのが特長です。
オフィスホワイトニングは「ケンズホワイトニング」という方法で行います。LEDライトを使用するため熱が加わらず、歯を傷めずに済むほか、保湿効果のある薬剤を使うことによって歯の表面の透明感が増し、透き通るような白さが手に入ります。
オフィスホワイトニングとホームホワイトニングを併用して短期間に最大限の効果を得る「デュアルホワイトニング」も行っていますので、お気軽にご相談ください。
そのほか、歯の中から漂白する「ウオークインブリーチ」という方法もあります。
神経を除去した歯はだんだん変色していきます。根の治療が完了していれば、神経のあった空洞に漂白剤を入れて、歯を中から白くすることができます。
ホワイトニングの流れ
ホームホワイトニング
①カウンセリング
↓
②クリーニング
↓
③マウスピースの作成(1週間)
↓
④ホワイトニング開始/自宅でケア(1カ月程度)
↓
⑤再評価
↓
⑥定期的にチェック
オフィスホワイトニング
①カウンセリング
↓
②クリーニング
↓
③ホワイトニング開始(1カ月程度)
↓
④再評価
↓
⑤定期的にチェック
料金
| カウンセリング(30分) | 無料 |
|---|---|
| オフィスホワイトニング | ¥35,200(税込) |
| ホームホワイトニング | ¥27,500(税込) |
| デュアルホワイトニング | ¥55,000(税込) |
| ウォーキングブリーチ(約4回) | 初回¥3,300(税込) 2回目以降¥1,100(税込) |









